Latest News

Home / مركز الأسنان / تعرف على علاج التهاب اللثة الفعال مع مجمع الطب المتميز

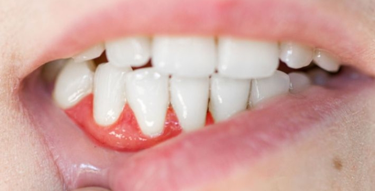
تعرف على علاج التهاب اللثة الفعال مع مجمع الطب المتميز

يشمل علاج التهاب اللثة الكثير من الخطوات التي تتم سواء في المنزل أو في عيادة الطبيب المختص، حيث يختلف بناءً على المرحلة التي وصلت إليها الأسنان، ولكن في جميع الحالات يجب أن يتم ذلك تحت إشراف متخصصين في هذا المجال مثل الأطباء في مجمع الطب المتميز في المدينة المنورة.

علاج التهاب اللثة

تختلف الطرق التي يمكن من خلالها علاج الالتهابات التي تحدث في اللثة.

حيث يشترط اختيار الطريقة المثالية في العلاج والتي تتباين حسب الأعراض التي يشعر بها الفرد.

ومن أهم الطرق المتبعة في ذلك ما يلي:

  • المداومة على المضمضة بالملح والماء يوميًا لمدة لا تقل عن ثلاثين ثانية.
  • الانتظام في تنظيف الأسنان باستخدام الفرشاة والمعجون المخصص لطبيعة السن لتفادي حدوث أي التهاب مشتقبلًا.
  • استخدام الأعشاب التي لها فاعلية في علاج ذلك مثل القرنفل والكركم.
  • تناول المضادات الحيوية التي يصفها الطبيب مثل المينوسيكين والبنسلين والدوكسيسيكين.
  • تنظيف اللثة بعمق لدى طبيب الأسنان المختص الذي يوفر الأدوات اللازمة.
  • لذلك يوفر مجمع الطب المتميز كافة المعدات اللازمة لذلك.
  • في حالة التهاب اللثة المتقدم يمكن إجراء جراحة لترقيع اللثة والتي يشترط اختيار مكان موثوق فيه للحصول على أفضل النتائج.

علاج التهاب اللثة سريع المفعول 

يمثل التنظيف العميق للأسنان أفضل وسيلة لـ علاج التهاب اللثة خاصةً في الحالات المتقدمة.

حيث يتبع الطبيب بعض الإجراءات الفعالة للتخلص من المشكلة من جذورها.

وذلك من خلال إزالة الرواسب والتكلسات العالقة تحت اللثة. والتي قد تتسبب في حدوث التهابات اللثة.

ويتم ذلك باتباع بعض الخطوات وهي كالتالي:

  • استعمال بعض الأدوات والمعدات الخاصة والتي يتم تعقيمها لتكون أكثر فاعلية من أي وسيلة يتم اتباعها في المنزل.
  • يقوم الطبيب بعمل تحجيم للأسنان والذي يقوم فيه بإزالة الجير والرواسب اللزجة حول الأسنان.
  • ويجب أن يكون الطبيب على دراية كافية بكل ما يتم في هذه العملية لأنها تتطلب خبرة كبيرة وهذا ما يوفره مجمع الطب المتميز.
  • يجري الطبيب تخطيط جذري وهو عبارة عن تنظيف أسطح جذور  الأسنان الخشنة حتى تلتصق اللثة بالأسنان بطريقة مثالية.
  • يوصي طبيبك في هذه الحالة بأهمية تنظيف الأسنان باستمرار في المنزل من ناحية مع المتابعة الدورية لتنظيفها بعمق في الأماكن المتخصصة.

كم يوم يستغرق إلتهاب اللثة؟

تتراوح المدة التي يمكن من خلالها علاج التهاب اللثة من أسبوع إلى أسبوعين حسب استجابة المريض للعلاج الذي تم تحديده من قبل الطبيب.

ويفترض أن تختفي جميع الأعراض المصاحبة للالتهاب في هذه المدة طالما كان الالتهاب بسيطًا.

ولكن في الحالات المتقدمة لالتهابات الاسنان قد يحتاج الأمر إلى مدة أطول.

كما يجب اتباع كافة النصائح التي يرشد بها الطبيب مع الاهتمام بصحة اللثة والفم بعد تناول العلاج لمنع ظهور الأعراض مرة أخرى. وذلك حتى بعد قص اللثة.

هل غسول الفم يعالج التهاب اللثه؟

يقوم غسول الفم بمحاربة اللثة الملتهبة بشكل فعال.

وذلك من خلال إزالة البكتيريا التي توجد في الفم.

كما يقوم الغسول المناسب بعلاج الكثير من المشكلات التي تصاحب التهابات الاسنان واضرار قص اللثة مثل التورم والنزيف والاحمرار.

ولكن يجب اختيار النوع المناسب الذي يصفه الطبيب حسب حالة الأسنان وطبيعتها.

كما يجب المداومة على استخدامه مرتين على الأقل يوميًا.

في الختام؛ إن علاج التهاب اللثة من الأمور اللازمة التي يجب الحرص عليها لتجنب حدوث قص اللثة والعديد من أسباب التهاب اللثة المزعجة والتي تنتهي بفقدان الأسنان مع التعرض لآلام كثيرة، ويجب اختيار المكان المثالي للحصول على أفضل النتائج الفعالة في وقت قليل، لذلك يمكن اختيار مجمع الطب المتميز.

تواصل الآن مع مجمع الطب المتميز الطب العام

يمكن التواصل مع المركز والحصول على خدمات مميز عبر الوسائل التالية:

العنوان: المدينة المنورة – طريق محمد بن عبد العزيز.

البريد الإلكتروني: info@dmcmedco.vom

الهاتف: 0148341700

أوقات عمل المجمع: من السبت للخميس، بداية الدوام من الساعة الثانية عشر ظهراً، ونهاية الدوام الساعة العاشرة مساءً.

ويمكنك حجز موعد لدى الطبيب من خلال تعبئة النموذج.

املأ النموذج من هنا.

 

 

الوسوم:, , ,