Latest News

Home / مركز الأسنان / طرق فعالة في علاج الضرس المحفور الملتهب والمنتفخ في العيادة

طرق فعالة في علاج الضرس المحفور الملتهب والمنتفخ في العيادة

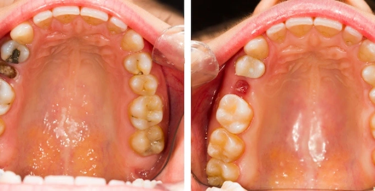
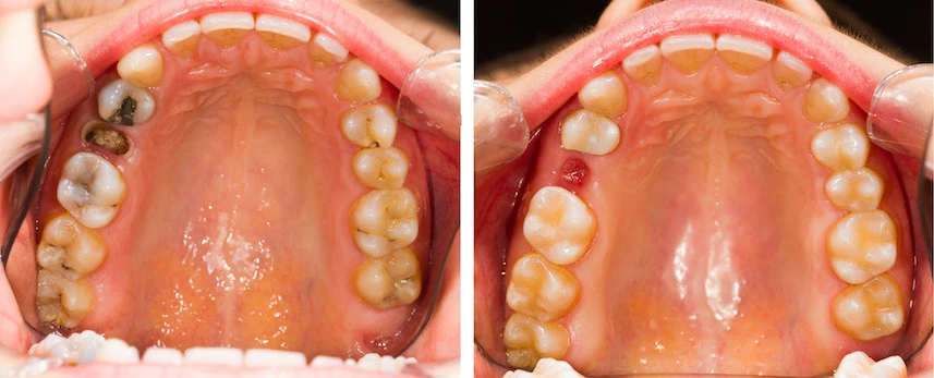
يبحث الكثير من المرضى عن علاج الضرس المحفور الملتهب والمنتفخ كونه من أكثر المشكلات المؤلمة التي تعيق الراحة اليومية وتؤثر على القدرة على الأكل أو التحدث بشكل طبيعي، حيث أن التهاب الضرس قد ينتج عن تسوس عميق أو عدوى بكتيرية أو إهمال في تنظيف الأسنان لفترات طويلة، وهنا يجب البحث عن عيادة موثوقة تضمن للمريض الراحة وسرعة الشفاء مثل مجمع الطب المتميز الذي يجمع بين التقنية وخبرة الأطباء.

أسباب التهاب وانتفاخ الضرس

قبل البدء في علاج الضرس المحفور الملتهب والمنتفخ داخل المركز الطبي يحرص فريق مجمع الطب المتميز بالمدينة المنورة على معرفة السبب الأساسي للمشكلة من خلال التشخيص الدقيق. لعل من أبرز الأسباب التي تؤدي إلى تلك الحالة ما يلي:

  • تسوس عميق قد يصل إلى العصب.
  • تراكم بقايا الطعام بين الأسنان واللثة.
  • تشقق أو كسر يسمح بتسرب البكتريا.
  • إهمال علاج خراج سابق.
  • أمراض اللثة المزمنة.

من الجدير بالذكر أن معرفة السبب في التهاب الضرس وانتفاخه يجعل الطبيب يحدد خطة العلاج المناسبة وهو ما يميز المجمع بخدماته التشخيصية الدقيقة باستخدام أحدث أجهزة الأشعة والفحص.

علاج الضرس المحفور الملتهب

علاج الضرس المحفور الملتهب يعتمد على شدة الالتهاب ومرحلة التسوس. في الحالات البسيطة، يبدأ العلاج بتنظيف التسوس جيداً ثم حشو الضرس لحمايته ومنع تفاقم المشكلة. إذا وصل الالتهاب إلى عصب الضرس، يجب إجراء علاج العصب عبر سحب العصب وتنظيف قنوات الجذر ثم حشوها، مما يخفف الألم ويمنع انتشار الالتهاب. بالإضافة للعلاج الطبي، يمكن تخفيف الألم مؤقتًا باستخدام مضادات الالتهاب والمسكنات التي يصفها الطبيب، وتطبيق كمادات باردة على الخد لتقليل التورم، وكذلك المضمضة بالماء الدافئ مع الملح أو استخدام زيت القرنفل كمسكن طبيعي. في الحالات المتقدمة جداً التي لا يمكن فيها إنقاذ الضرس.

قد يلجأ الطبيب إلى خلع الضرس من المهم زيارة طبيب الأسنان لتقييم الحالة بدقة والحصول على العلاج المناسب لمنع المضاعفات

طرق التشخيص داخل العيادة

الخطوة الأولى في علاج الضرس المحفور الملتهب الملتهب والمنتفخ هي التشخيص السليم في مجمع الطب المتميز يعتمد الأطباء المتخصصين على مجموعة من الوسائل المتطورة والتي تتمثل فيما يلي:

  • الفحص السريري للضرس واللثة المحيطة.
  • إجراء الأشعة السينية ثلاثية الأبعاد لتحديد مكان الالتهاب.
  • تقييم الحالة العامة للمريض لوضع خطة العلاج المناسبة له واختيار العلاج.

طرق فعالة في علاج الضرس الملتهب والمنتفخ

داخل العيادات المتخصصة مثل مجمع الطب المتميز تتوفر مجموعة من الحلول العلاجية المتقدمة لـ  علاج ألم الضرس والانتفاخ بسرعة ومن أبرزها ما يلي:

العلاج الدوائي

عند الحالات البسيطة يصف الطبيب بعض المضادات الحيوية والمسكنات لتخفيف الألم ومحاصرة الالتهاب. الأمر الذي يتيح للمريض الحصول على الراحة الفورية.

تنظيف الضرس واللثة

يقوم الطبيب بتنظيف المنطقة المصابة بأدوات ووسائل متطورة تعمل على إزالة البكتريا والجراثيم. مما يحد من فرص عودة الالتهاب مرة أخرى.

علاج العصب ( الحشو العلاجي )

في حالة كان الالتهاب وصل للعصب يتم عمل حشو عصب الاسنان للمريض باستخدام تقنيات دقيقة تتوفر داخل مجمع الطب المتميز بالمدينة المنورة. حيث يقوم الطبيب بتنظيف القنوات الداخلية للضرس وإعادة حشوها بمادة طبية تمنع رجوع العدوى مرة أخرى للضرس.

فتح و تصريف الخراج

في حالة تكون خراج داخل الضرس واللثة يقوم الطبيب بفتحه وتصريف الصديد مع إعطاء المريض العلاج المناسب. مما يساعد على تخفيف التورم بشكل سريع.

خلع الضرس التالف

إذا استحال إنقاذه يتم خلع الضرس بطريقة آمنة باستخدام أحدث أجهزة الجراحة البسيطة. وكذلك توفير بعض البدائل مثل زراعة الأسنان المتاحة داخل مجمع الطب المتميز.

نصائح وقائية بعد العلاج

بعد الانتهاء من علاج الضرس الملتهب والمنتفخ يقدم الطبيب للمريض مجموعة من النصائح الوقائية بعد علاج عصب الاسنان والتي يجب اتباعها للحفاظ على نتيجة العلاج ومنها ما يلي:

  • الاهتمام بتنظيف الأسنان مرتين يوميًا.
  • استخدام خيط الأسنان الطبي بانتظام.
  • التقليل من تناول السكريات التي تسبب تسوس الأسنان.
  • مراجعة المركز الطبي بشكل دوري للفحص الوقائي.
  • الالتزام بالتعليمات الدوائية الموصوفة من قبل الطبيب لضمان الشفاء التام.

في النهاية، يمكننا القول إن علاج الضرس الملتهب والمنتفخ يحتاج إلى الخبرة الطبية الدقيقة والتقنيات الحديثة وهو ما يوفره مجمع الطب المتميز لمرضاه بأعلى معايير الجودة وذلك بفضل الفريق الطبي المؤهل والخدمات المتكاملة التي يقدمه مما جعله الوجهة الأولى لكل من يبحث راحة دائمة وحلول جذرية لمشاكل الأسنان.

تواصل الآن مع مجمع الطب المتميز الطب العام

يمكن التواصل مع المركز والحصول على خدمات مميز عبر الوسائل التالية:

العنوان: المدينة المنورة – طريق محمد بن عبد العزيز.

البريد الإلكتروني: info@dmcmedco.vom

الهاتف: 148341700

أوقات عمل المجمع: من السبت للخميس، بداية الدوام من الساعة الثانية عشر ظهراً، ونهاية الدوام الساعة العاشرة مساءً.

ويمكنك حجز موعد لدى الطبيب من خلال تعبئة النموذج هنا.