تستطيع أن تتخلص من الم عصب الاسنان مع مجمع الطب المتميز والذي يدرك جيدا أن تلك الآلام الشديدة تمنعك من ممارسة حياتك ...
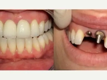
أصبحت طريقة زراعة الأسنان الأمامية من أحدث التطورات الطبية فهي تعد نقلة في تخصص طب الأسنان، وذلك لأهميتها الكبيرة ...
يضمن مجمع الطب المتميز حصولك على احدث تقنيات زراعة الاسنان وذلك عبر استشاريين ومتخصصين مميزين إلى جانب تقديم ...
تعتبر زراعة الأسنان بدون جراحة أحد التقنيات والإجراءات التي تساهم بتقليل وقت العلاج بصورة كبيرة، وبهذا أصبح من ...
يضمن لك مجمع الطب المتميز استمتاعك بأفضل طرق الخلع الجراحي للاسنان وزراعتها وهذا لأنه يعتمد على أكفأ الأطباء ...
يساعدك مجمع الطب المتميز على معرفة موانع زراعة الاسنان وكيف يتم هذا الإجراء عبر أفضل الأطباء في المملكة العربية ...
يمكنك الحصول على افضل انواع زراعة الاسنان بالمدينة المنورة من خلال مجمع الطب المتميز والذي يقدم مجموعة مختلفة من ...
مع مجمع الطب المتميز في المدينة المنورة يمكنك أن تتعرف على مدة زراعة الاسنان بعد الخلع خاصة أن فقدانها يعد مشكلة ...
إن كنت تشعر بقلق بسبب الم زراعة الاسنان دعني أخبرك أن تلك التجربة ستساعدك على ابتسامة جذابة، لأنها تحسن من مظهر ...
الالتزام بتعليمات الطبيب بعد زراعة الاسنان أمر مهم للغاية لأن الأسنان المزروعة بحاجة إلى رعاية مستمرة والتزام شديد ...